症例紹介
叢生(でこぼこ)
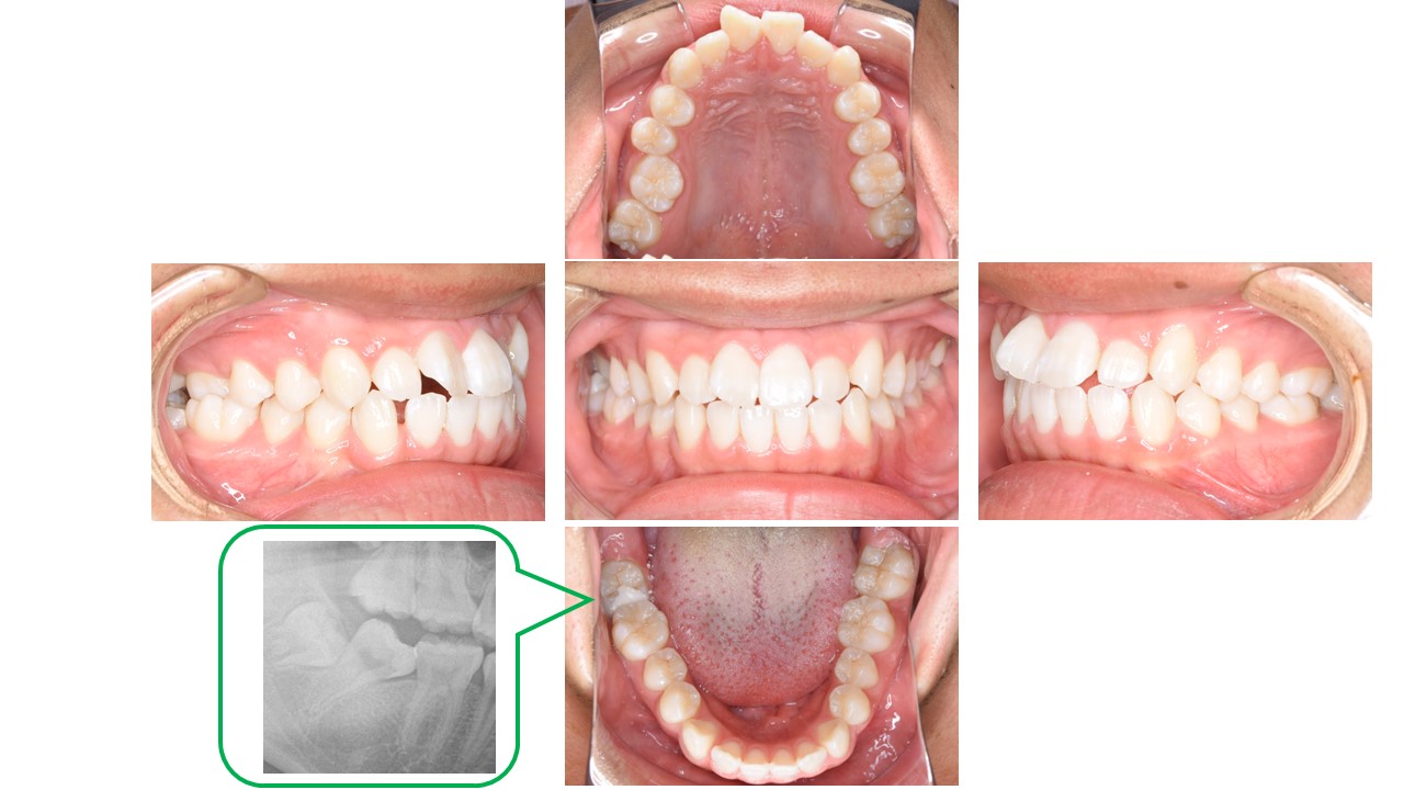
ガタガタ、奥歯のかみ合わせを治したい(16歳男性 治療期間:1年11か月)
-
-

Before
-

After
-
-
症例情報
症状 上顎前歯翼状捻転・右側6鋏状咬合・下顎右側7近心傾斜により萌出困難 年齢・性別 初診時年齢 16歳2か月 男性 治療期間 1年11か月・通院回数計24回 治療方法 抜歯部位なし・マルチブラケット装置 費用 88万円(検査・診断・通院費込み)矯正歯科治療は公的健康保険の対象外の自費診療となります。 デメリット・注意点 歯の移動に伴う歯肉退縮や歯根吸収(この患者様では認められず)、清掃不良により一時的な歯肉腫脹 備考 診断名:下顎の左方偏位を伴う叢生 -
かかりつけ医でガタガタと右下の奥歯の傾斜を指摘され、当院に来院されました。
幼少期に受け口の治療と、舌小帯切除の既往があります。
初診時は叢生に加え、前歯部のかみ合わせも浅く、下顎骨の左方偏位が認められました。
叢生量が多くないため、非抜歯で治療を行いました。
下顎骨の左方偏位があるため、上下の歯列正中は一致しきれていませんが、良好な咬合関係となりました。
現在プレートタイプのリテーナーで保定を行い、保定中に親知らずを抜去予定です。