症例紹介
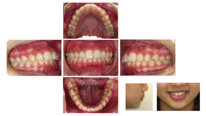
上顎前突(出っ歯)
-
上顎前突(出っ歯)
出っ歯を治したい(10歳女児 治療期間:1年6か月)
続きを読む-

Before
-

After
症例情報
症状 出っ歯が気になる 年齢・性別 初診時年齢 10歳8か月 治療期間 1年6か月・通院回数9回 治療方法 使用装置:バイオネーター 下顎骨の前方誘導と上下顎歯列の拡大 費用 47万5千円(検査・診断・通院費込み)矯正歯科治療は公的健康保険の対象外の自費診療となります。 デメリット・注意点 着脱式の装置のため、装着しないと効果がでない。装置の洗浄を含め、装置にもお手入れが必要。 備考 診断名:過蓋咬合を伴う上顎前突症 -