症例紹介
叢生(でこぼこ)
八重歯を治したい(14歳女性 治療期間1年9か月)
-
-

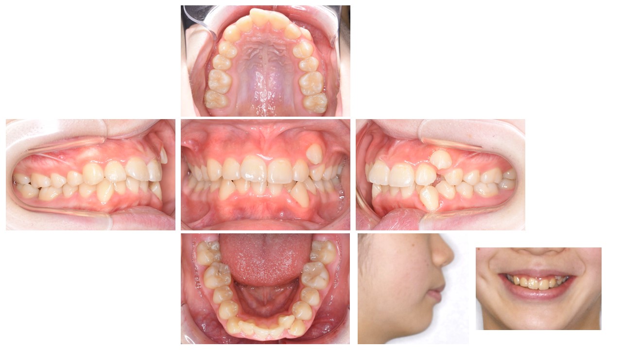
Before
-

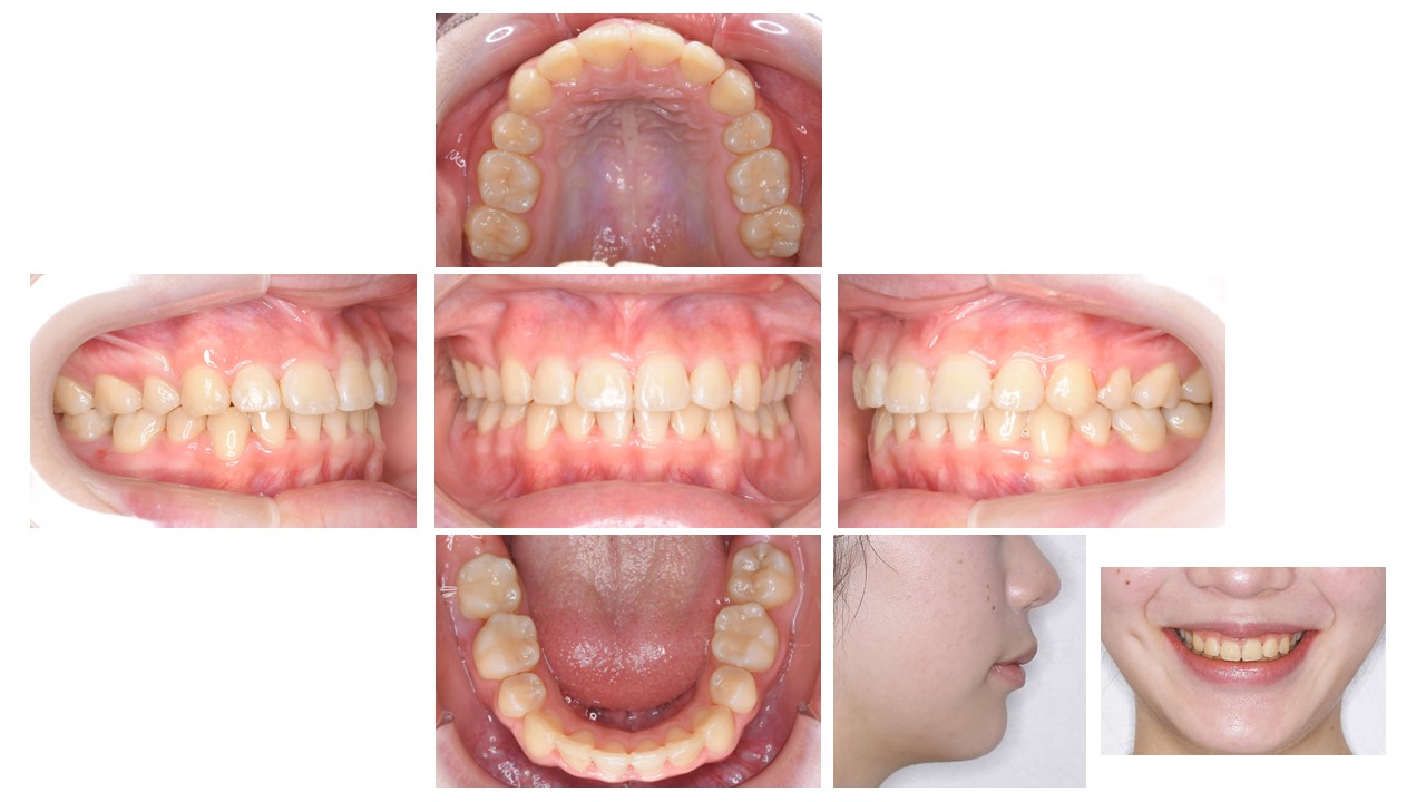
After
-
-
症例情報
症状 八重歯が気になる 年齢・性別 初診時年齢 14歳3か月 治療期間 1年9か月・通院回数計15回 治療方法 上下顎第一小臼歯(合計4本)抜歯・マルチブラケット装置 費用 88万円(検査・診断・通院費込み)矯正歯科治療は公的健康保険の対象外の自費診療となります。 デメリット・注意点 歯の移動に伴う歯肉退縮や歯根吸収(この患者様では認められず)、ブラケット装着によるカリエスリスク(右下7が治療中虫歯になりました。) 備考 診断名:叢生を伴う骨格性上顎前突症 -
叢生(ガタガタ)をほどくため、上下顎第一小臼歯(犬歯のひとつ後ろの歯・計4本)を抜去して治療を行いました。
初診時は、叢生が上下とも歯列の左側に集中しているため前歯が左側に流れてしまい、顔貌正中と歯列の正中にズレが生じていました。
遠方からの通院でしたが、装置の脱離もほとんどなく、顎間ゴムなども一生懸命協力してくれて、比較的短期間で治療を終えることが出来ました。
現在プレートタイプの保定装置で保定中です。